
Cambridge scientists have developed a powerful AI tool that can diagnose celiac disease from biopsy images with over 97% accuracy.
Trained on thousands of samples from diverse sources, the algorithm offers a faster, more reliable way to identify the condition, which is especially important given how often symptoms are missed or misdiagnosed. Researchers say this could ease pressure on healthcare systems and help underserved regions.
AI Achieves 97% Accuracy in Diagnosing Celiac Disease
A machine learning algorithm developed by scientists at the University of Cambridge has been shown to accurately detect coeliac disease in 97 out of 100 cases, based on biopsy samples.
Trained on nearly 3,400 scanned biopsies from four NHS hospitals, the AI tool could help speed up diagnosis and reduce the burden on overstretched healthcare systems. It also holds promise for improving access to diagnosis in low-resource settings, where there is a severe shortage of trained pathologists.
Digital tools like this one are starting to show real potential in assisting or even automating the analysis of diagnostic tests. While much of the focus so far has been on cancer detection, researchers are now exploring how AI can help diagnose a wider range of diseases.
One of those conditions is celiac disease, an autoimmune disorder triggered by eating gluten. Symptoms can vary widely from person to person and may include stomach pain, diarrhea, skin rashes, weight loss, fatigue, and anemia. Because of this variation, getting an accurate diagnosis can be challenging and often takes years.

Challenges in Identifying Celiac Disease
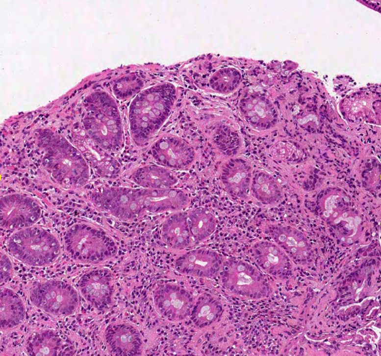
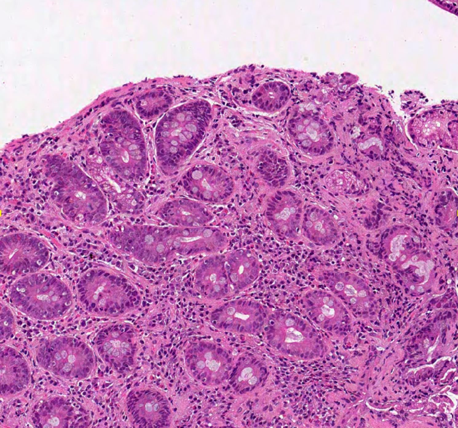
The gold standard for diagnosing celiac disease is via a biopsy of the duodenum (part of the small intestine). Pathologists will then analyze the sample under a microscope or on a computer to look for damage to the villi, tiny hair-like projections that line the inside of the small intestine.
Interpreting biopsies, which often have subtle changes, can be subjective. Pathologists use a classification system known as the Marsh-Oberhuber scale to judge the severity of a case, ranging from zero (the villi are normal and the patient is unlikely to have the disease) to four (the villi are completely flattened).
Training the AI on Diverse Biopsy Data
In research published today (March 27) in the New England Journal of Medicine AI, Cambridge researchers developed a machine learning algorithm to classify biopsy image data. The algorithm was trained and tested on a large-scale, diverse dataset consisting of over 4,000 images obtained from five different hospitals using five different scanners from four different companies.
Senior author Professor Elizabeth Soilleux from the Department of Pathology and Churchill College, University of Cambridge, said: “Celiac disease affects as many as one in 100 people and can cause serious illness, but getting a diagnosis is not straightforward. It can take many years to receive an accurate diagnosis, and at a time of intense pressures on healthcare systems, these delays are likely to continue. AI has the potential to speed up this process, allowing patients to receive a diagnosis faster, while at the same time taking pressure off NHS waiting lists.”
Strong Results from Independent Testing
The team tested their algorithm on an independent data set of almost 650 images from a previously unseen source. Based on comparisons with the original pathologists’ diagnoses, the researchers showed that the model was correct in its diagnosis in more than 97 cases out of 100.
The model had a sensitivity of over 95% – meaning that it correctly identified more than 95 cases out of 100 individuals who had celiac disease. It also had a specificity of almost 98% – meaning that it correctly identified in nearly 98 cases out of 100 individuals who did not have celiac disease.
Human Pathologists vs AI Performance
Previous research by the team has shown that even pathologists can disagree on diagnoses. When shown a series of 100 slides and asked to diagnose whether a patient had celiac disease, did not have the disease, or whether the diagnosis was indeterminate, the team showed that there was disagreement in more than one in five cases.
This time round, the researchers asked four pathologists to review 30 slides and found that a pathologist was as likely to agree with the AI model as they were with a second pathologist.
A Versatile and Scalable Diagnostic Tool
Dr. Florian Jaeckle, also from the Department of Pathology, and a Research Fellow at Hughes Hall, Cambridge, said: “This is the first time AI has been shown to diagnose as accurately as an experienced pathologist whether an individual has celiac or not. Because we trained it on data sets generated under a number of different conditions, we know that it should be able to work in a wide range of settings, where biopsies are processed and imaged differently.
“This is an important step towards speeding up diagnoses and freeing up pathologists’ time to focus on more complex or urgent cases. Our next step is to test the algorithm in a much larger clinical sample, putting us in a position to share this device with the regulator, bringing us nearer to this tool being used in the NHS.”
Patient Trust and AI Transparency
The researchers have been working with patient groups, including through Coeliac UK, to share their approach and discuss with them their receptiveness to technology such as this being used.
“When we speak to patients, they are generally very receptive to the use of AI for diagnosing celiac disease,” added Dr. Jaeckle. “This no doubt partly reflects their experiences of the difficulties and delays in receiving a diagnosis.
“One issue that comes up frequently with both patients and clinicians is the issue of ‘explainability’ – being able to understand and explain how AI reaches its diagnosis. It’s important for us as researchers and for regulators to bear this mind if we want to ensure there is public trust in applications of AI in medicine.”
Pathologists Launch AI Spinout Company
Professor Soilleux is a consultant haematopathologist at Cambridge University Hospitals NHS Foundation Trust. Together with Dr. Jaeckle, she has set up a spinout company, Lyzeum Ltd, to commercialize the algorithm.
The research was funded by Coeliac UK, Innovate UK, the Cambridge Centre for Data-Driven Discovery and the National Institute for Health and Care Research.
Keira Shepherd, Research Officer at Coeliac UK, said: “During the diagnostic process, it’s vital that patients keep gluten in their diet to ensure that the diagnosis is accurate. But this can cause uncomfortable symptoms. That’s why it’s really important that they are able to receive an accurate diagnosis as quickly as possible.
“This research demonstrates one potential way to speed up part of the diagnosis journey. At Coeliac UK, we’re proud to have funded the early stages of this work, which initially focused on training a system to differentiate between healthy control biopsies and biopsies of patients with celiac disease. We hope that one day this technology will be used to help patients receive a quick and accurate diagnosis.”
Liz Cox’s 30-Year Diagnosis Journey
Liz Cox, 80, had been having symptoms including anemia and stomach pains for almost 30 years when a question from a friend – “Are you still losing weight?” – made her realize that she ought to seek help.
Born in Tottenham, North London, towards the end of the Second World War, Liz has moved around, spending part of her life in Singapore after getting married before settling down to live in Linton, just outside Cambridge. She had spent most of her life working in libraries and took up a “retirement job” working in Linton’s community library.
Liz began with severe stomach pains in her 30s, after having her three children.
“Anything that makes the system quicker must be a good thing.”
Liz Cox, 80
A Life Changed by Diagnosis
“My doctor carried out various tests, but celiac disease wasn’t very well known then, so I wasn’t tested for that. I was quite tired, but I just carried on because you have to when you’ve got three children and a husband, don’t you?”
Liz tried not to let her condition get in the way, making sure she found time for activities she enjoyed, such as skiing and dancing, and it wasn’t until her late 50s, prompted by her friend’s question, that she went back to the doctor.
This time, her GP in Linton did a blood test, which suggested advanced celiac disease. A biopsy at Addenbrooke’s Hospital confirmed this – but also found pre-cancerous cells.
From Diagnosis to Advocacy
“I used to see Dr. Jeremy Woodward, my consultant, every year for an endoscopy. Wasn’t I lucky!” she says. After about 10 years, she was given the all-clear for cancer and discharged.
Since her diagnosis, Liz has been on a strict, gluten-free diet, which had an effect almost immediately. She isn’t tempted to have even the smallest amount of gluten now.
“Some people say, ‘Have a little bit’, but no, it’s a strict diet, because you don’t know what it’s doing to your insides. It’s just mind over matter, isn’t it? You can’t have it, end of story.”
She joined a Coeliac UK support group in Bury St Edmunds, which helped her meet others like herself, share tips and find good places to eat that did gluten-free options. She was talked into becoming the Secretary, with her husband agreeing to become Membership Secretary – they have been doing this now for 20 years.
Public Engagement with Research
It was through this group that Liz met Professor Elizabeth Soilleux from the University of Cambridge.
“Elizabeth came to our meeting to talk about her research. It was quite fun because she showed us pictures of biopsies and said could we guess which were celiac and which weren’t? It wasn’t easy.”
Liz is impressed with the use of AI to diagnose celiac disease. Her referral for an endoscopy and the subsequent diagnosis happened relatively quickly. Not everyone is as fortunate.
“You hear stories from other people, and they’ve waited a long time. They go back and forward to the doctor’s often, with various odd symptoms, and perhaps the doctors don’t always test them for that.
“Anything that makes the system quicker must be a good thing, because once you’ve been diagnosed and you know you can’t have gluten, then you know what to do, and you feel so much better.”
Reference: “Machine Learning Achieves Pathologist-Level Coeliac Disease Diagnosis” by Florian Jaeckle, Ph.D., James Denholm, Ph.D., Benjamin Schreiber, Ph.D., Shelley C. Evans, B.Med.Sci. (Hons)., Mike N. Wicks, M.Sc., James Y. H. Chan, M.B.B.S., Adrian C. Bateman, M.D., Sonali Natu, M.D., Mark J. Arends, Ph.D. and Elizabeth Soilleux, Ph.D., 27 March 2025, NEJM AI.
DOI: 10.1056/AIoa2400738
Never miss a breakthrough: Join the SciTechDaily newsletter.
Follow us on Google and Google News.
1 Comment
It’s time to replace humans with AI wherever possible.